Início » Serviços
Serviços Internos e Externos
A Ortopóvoa disponibiliza aos seus pacientes e aos profissionais de saúde oral um conjunto alargado de serviços especializados.
Clique em cada um dos serviços para saber mais informações.

Tratamentos Médico Dentários
Serviços Internos
- Tratamentos ortodônticos »
- Tratamentos de reabilitação oral »
- Tratamentos de implantologia »
- Tratamentos periodontais »
- Tratamentos de cirurgia oral »
- Tratamentos protéticos »
- Tratamentos de dentisteria operatória »
- Tratamentos endodônticos »
- Tratamentos ortodôntico-cirúrgicos »
- Tratamentos ortodôntico-cirúrgico-ortognáticos »
- Tratamentos da disfunção articular temporomandibular e dor orofacial »
- Branqueamento dentário »
- Harmonização Facial »

Serviços de Diagnóstico e Plano de Tratamento
Serviços Internos e Externos
- Exame clínico e odontograma »
- Exame ortodôntico »
- Exame oclusofuncional »
- Exame ortognático »
- Estudo fotográfico extra e intraoral »
- Estudo radiológico »
- Análise morfovolumétrica da face »
- Análise 3D das estruturas orais »
- Análise geométrica individualizada da harmonia facial ® »
- Análise cefalométrica »
- Análise multifatorial dos sinais de alarme da Classe III »
- Diagnóstico e plano de tratamento interdisciplinar »

Serviços de Radiologia Dentária
Serviços Internos e Externos

Serviços Laboratoriais
Serviços Internos e Externos
Ortodontia
- Aparelhos removíveis
- Aparelhos biomecânicos
- Aparelhos funcionais
- Bimler
- Bionator
- Aparelhos de contenção
- Dispositivos auxiliares fixos
- Aparelhos distalizadores
- Aparelhos de ancoragem
Prótese
- Prótese removível
- Prótese fixa
- Facetas cerâmicas em dissilicato de lítio
e feldspáticas - Coroas em zircónia e dissilicato de lítio
- Facetas cerâmicas em dissilicato de lítio
- Estruturas híbridas
- Sobredentaduras
O tratamento ortodôntico visa a correção da posição dos dentes, promovendo o alinhamento e o nivelamento das arcadas dentárias e, sempre que possível, a correção das dimensões e das posições dos maxilares, com o propósito de garantir uma oclusão saudável que promove a estética dento-facial. O paciente melhora o sorriso, a sua autoestima e, consequentemente, o seu grau de influência relacional.
O tratamento de reabilitação oral visa restabelecer a saúde, a funcionalidade e a estética dento-facial do paciente. Pretende recuperar, reabilitar e readaptar o paciente que sofreu perdas parciais ou totais das estruturas que compõem o aparelho estomatognático, designadamente dentes e estruturas anexas.
O tratamento de reabilitação oral obriga, muitas vezes, a colocar dentes artificiais. Havendo boas condições de saúde do paciente, bem como osso bastante nas três dimensões do espaço, é preferível optar-se por dentes aplicados sobre implantes.
A Periodontologia é a especialidade da medicina dentária que faz o diagnóstico e que trata as doenças do periodonto. Como o nome indica, periodonto significa “os tecidos que estão na periferia do dente, ou seja, as estruturas que estabilizam ou seguram o dente”.



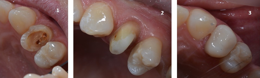
A endodontia, popularmente conhecida como “desvitalização”, trata as doenças da polpa dentária (conjunto de tecidos vivos com nervo, vasos sanguíneos e recetores de sensibilidade). A polpa encontra-se dentro do dente, na câmara pulpar e nos canais pulpares, e, ajuda a irrigar (levar os nutrientes para o dente) e coopera para a sensibilidade do dente.


O branqueamento dentário permite clarear os dentes naturais sem os danificar, podendo ser realizado de diversas maneiras.
O envelhecimento provoca na face e no pescoço, designadamente na região peri labial, rugas, linhas de expressão e flacidez que acontecem devido ao desgaste do ácido hialurónico na pele. Em certos casos muito mais acentuada e precocemente do que seria normal.








